2016年12月20日

“首こり博士” 松井孝嘉(東京脳神経センター理事長)医学博士の
首こり病専門クリニックと治療院が大阪梅田にオープン

つらい『首こり』が大阪で治療できるようになりました。

東京脳神経センター

main image

松井孝嘉 医学博士

12月26日(月)、大阪市北区梅田に不定愁訴の原因となる「首こり病」第一人者の松井孝嘉医師はじめ東京脳神経センターの脳神経外科医の診察が受けられる首こり病専門クリニック「ネッククリニック大阪」と、首こり専門治療院「すっきりセンター大阪」が誕生します。
「ネッククリニック大阪」は、東京脳神経センターとの連携により、脳神経外科の医師が問診・触診および患者持ち込みのMRIやCTなどの画像により診断します。
また「すっきりセンター大阪」は、首こり病と診断された患者の状態に応じ、低周波治療や首を温める温熱療法、電気鍼で筋肉の緊張や痛みを緩和し、首こりの原因を治療します。

<大阪梅田に誕生した経緯>
2006年に東京都港区虎ノ門に東京脳神経センターが開業して以来10年間に、約1000人の患者様が首こり病診療のため、大阪(京都含む)エリアから東京脳神経センターに来院されています。電話問い合わせのみで東京まで通えない患者様の数はそれ以上です。首こり病に苦しむ患者様が新幹線の交通費と一日がかりの時間をかけて往復するのはたいへんな苦痛です。そのため前々から多くの皆様より「地元大阪エリアで治療できる場所を」というご要望をいただいており、この度ようやくそのご要望にお応えして、首こり病診察・治療の場を大阪にご提供することができました。


<すっきりセンター大阪/ネッククリニック大阪>
オープン日:2016年12月26日(月)
住所 :〒530-0001 大阪市北区梅田1-3-1 大阪駅前第1ビル3F
電話 :06-6342-5055(すっきりセンター大阪:首こり治療院)
:06-6342-5055(ネッククリニック大阪:首こり病専門クリニック)

==============================

<首こり病とは?>
頚(くび)は脳から全身への神経が通る“神経センター”です。パソコンやスマホを長時間使用したり、うつむき加減で勉強・仕事や趣味に没頭した結果、頚の筋肉が凝る(首こり)ことで、頚椎の中心にある副交感神経の異常を招きます。副交感神経は、内臓や血管、呼吸器などをコントロールする重要な神経のひとつで「首こり」によって副交感神経の働きが低下すると全身にさまざまな不定愁訴*(原因不明の症状)が現れます。この状態を「頚筋症候群(首こり病)」と言い、「うつむき姿勢」の機会が多い現代人の生活習慣病です。

*不定愁訴
・広辞苑  :明白な器質的疾患が見られないのに、さまざまな自覚症状を訴える状態。
・医学大事典:自覚症状が一定せず、その時どきによって変化する訴え。動悸、息苦しさ、発汗、頭重、不眠など多種多様であるが、自律神経系が関与する身体的な症状が中心である。幼児期から老年期に至る全ての年齢層にみられるが、初老期(女性では更年期)がいわゆる自律神経失調症にかかりやすいため、特定の病気がなくともしばしば認められる。

■首こり病がひきおこす代表的な17の疾患
<さまざまな診療科の症状が出るため、どこの病院に行っても治療が難しい。>
緊張型頭痛/めまい/自律神経失調症/うつ/多汗症/慢性疲労症候群/過敏性腸症候群/ムチウチ/パニック障害/不眠症/血圧不安定/機能性胃腸症/VDT症候群/ドライアイ/機能性食道嚥下障害/ドライマウス/更年期障害

<東京脳神経センターとは>
東京脳神経センターは、画像診断のパイオニアであり、「頚筋症候群(首こり病)」の診察及び治療法を発見した松井孝嘉が、恩師の東京大学名誉教授 佐野圭司氏(初代所長、2011年1月没)を迎え、2006年5月11日、東京・虎ノ門にオープンした医療施設です。
「今までどこの病院でも治せなかった病気を治す」という使命のもと、最新Ver.の画像診断装置(MRI・CT ほか)による検査・診断と、臨床経験豊富な脳神経外科・神経内科たちにより、脳血管障害、血管奇形、脳腫瘍など専門性の高い脳の病気全般および首こり病(自律神経失調)の診療を行っています。
・所在地: 〒105-0001 東京都港区虎ノ門4-1-17 神谷町プライムプレイス2F
・TEL  : 03-5776-1200
・FAX  : 03-5776-1201
・URL  : http://tokyo-neurological-center.com/

<松井孝嘉(まつい たかよし)博士プロフィール>
・東京脳神経センター理事長
・松井病院理事長
・東京大学医学部卒業
・医学博士 ・脳神経外科医

1971年、東京大学文部教官となり頭頸部外傷・デッドボールを研究。巨人軍の協力を得て長嶋・王選手らと頭部デッドボールの実験を繰り返し、野球用耳付きヘルメットを開発・実用化。デッドボールによる死者を皆無にする。その後、米国アルバートアインシュタイン医科大学にて脳腫瘍・脳血管障害を研究。ジョージタウン大学にて世界初の全身用CTスキャナの開発に携わり、日本への導入・普及に尽力。日本がCTスキャナ普及率世界一となった第一の貢献者。これにより日本人の死因第一位だった脳卒中死者が激減。同時に世界初の本格的脳画像診断アトラスを制作・著作。医学書初の国際出版文化大賞、外務大臣賞を受賞。1978年に「首こり病(頚筋症候群)」を発見し、2005年、診断法と治療法を確立。これが世界初の自律神経失調症の治療法となり、首こりに起因する不定愁訴の治療がはじめて可能となった。

<主な著書> 「「スマホ首」が自律神経を壊す」(祥伝社)、「「首こり」を治せば10歳若返る!」(KKベストセラーズ)、「慢性疲労は首で治せる!」(角川新書)、「首こりは万病のもと うつ・頭痛・慢性疲労・胃腸不良の原因は首疲労だった!」(幻冬舎新書)ほか。

<直近メディア掲載(ぎっくり首/首こり病) 2016年11月~>
・11月10日(11月24日号)『女性セブン』『ぎっくり首に気をつけろ』
・11月13日(日) TBSテレビ 『噂の東京マガジン』
・11月16日(水)テレビ朝日 『グッドモーニング』、 フジテレビ『直撃LIVE!グッディ』
・12月7日(水)日本テレビ『ニュースevery』、『NEWS ZERO』
・12月12日(月)~16日(金)連続 『J-WAVE ジャム・ザ・ワールド(CASE FILEコーナー)』話題のぎっくり首と首こり病シリーズ、ほか多数

◆プレスリリース画像
file2_title
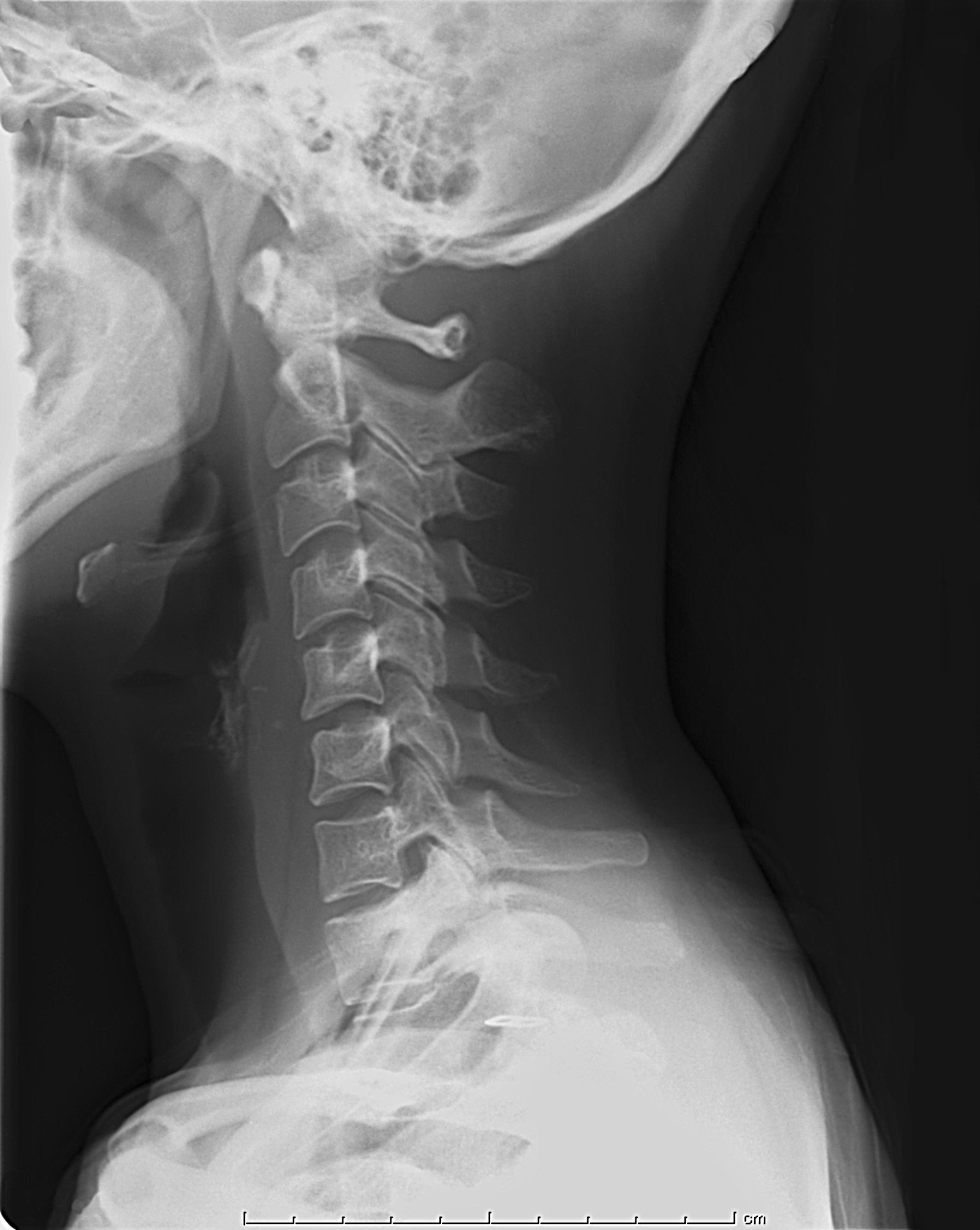
正常な首(頚X線)
file3_title
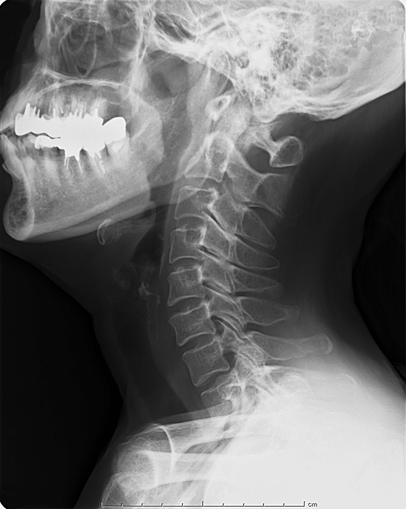
ストレートネック(頚X線)
file4_title
地図
◆プレスリリースPDF
【312.88 KB】
このプレスリリースには、メディア関係者向けの情報があります。
メディア会員新規登録

アクセスランキング

  • プレスリリースも地産地消へ!
  • 広報部アウトソーシング&サテライト広報部
  • aumo
  • PR会社ラプレ・PRプランナー日記